





يطلب عمل طب وتمريض في السعودية
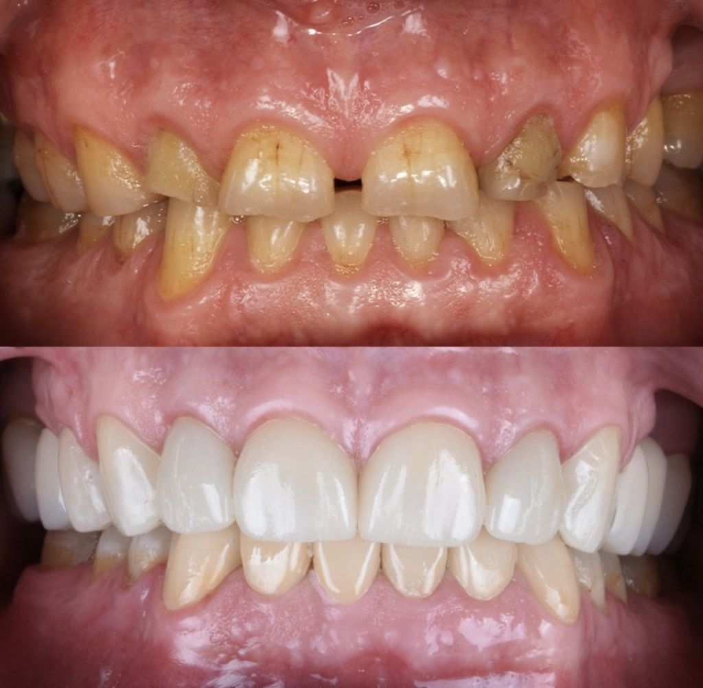
طبيبة أسنان عام - أردنية - خبرة 9 سنوات - متمكنة من جميع المعالجات (الابتسامات والتركيبات بأنواعها - علاجات العصب - قص وتوريد اللثة بالليزر - الخلع الجراحي - علاج أسنان الاطفال - الحشوات التجميلية - تبييض الأسنان) جاهزة للعمل فورا - ترخيص ساري
أي مشكلة؟ الإبلاغ عن هذا الاعلان